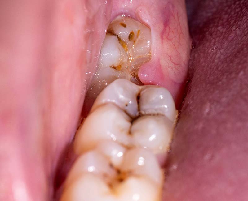
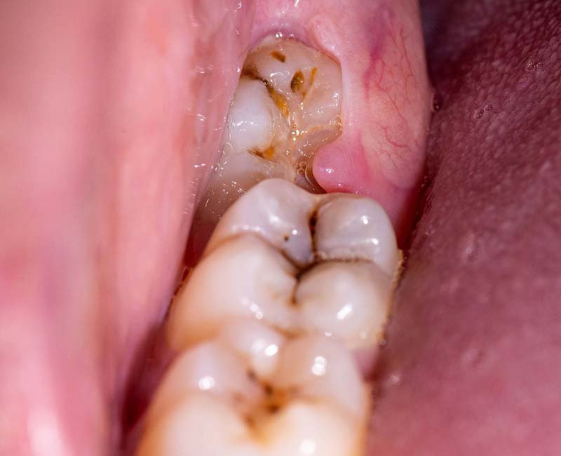
Wisdom Teeth Removal in Central Delhi
At Krisshnaa Dental & Get safe and comfortable wisdom teeth removal at Krisshnaa Dental & Multispeciality Care, Central Delhi. Wisdom teeth (third molars) often cause pain, swelling, infection, and alignment issues when they erupt improperly. Our experienced oral surgeons and dentists provide precise, minimally invasive wisdom tooth extraction using advanced techniques to ensure faster healing and maximum patient comfort.





What Is Wisdom Teeth Removal?
Wisdom teeth removal is a dental procedure to extract one or more third molars that are impacted, partially erupted, or causing oral health problems. These teeth usually emerge between the ages of 17 and 25 and often lack sufficient space to grow properly.
At Krisshnaa Dental & Multispeciality Care, wisdom tooth removal is carefully planned using clinical examination and digital imaging to ensure safe extraction while protecting surrounding teeth, nerves, and gums.

Book Your Appointment
Schedule your consultation with our experienced dental team and get the right treatment at the right time.




Types of Wisdom Teeth Problems Treated in Central Delhi
Our clinic manages all types of wisdom tooth conditions with customised treatment planning.

Impacted Wisdom Teeth
Impacted wisdom teeth remain trapped in the jawbone or gums, causing pain, swelling, and infection. Surgical removal is often required to prevent complications.

Partially Erupted Wisdom Teeth
Partially erupted teeth create gum flaps that trap food and bacteria, increasing the risk of infection and decay. Removal helps maintain oral hygiene and comfort.
Infected or Decayed Wisdom Teeth
Wisdom teeth are difficult to clean and may develop cavities or infections. Extraction prevents the spread of infection to adjacent teeth.
Crowding and Alignment Issues
Wisdom teeth may push other teeth out of alignment, especially after orthodontic treatment. Timely removal helps preserve dental alignment.
Wisdom Teeth Removal Procedure in Central Delhi
Our cosmetic dentistry process is designed to deliver predictable, natural-looking results through careful planning, precision treatment, and long-term care.
Consultation and Diagnosis
A detailed examination and digital X-rays are performed to assess tooth position and complexity.
Treatment Planning
The extraction approach is planned based on impaction level, root position, and patient comfort.
Anaesthesia and Extraction
Local anaesthesia or sedation is used to ensure a painless procedure.
Surgical Removal (If Required)
For impacted teeth, minor surgical techniques are used for safe extraction.
Post-Procedure Care
Medications and care instructions are provided to promote healing and reduce discomfort.
Follow-Up
Follow-up visits ensure proper recovery and address any concerns.
Cost of Wisdom Teeth Removal in Central Delhi
The cost of wisdom teeth removal depends on:
- Number of teeth to be removed
- Level of impaction
- Need for surgical extraction
- Anaesthesia or sedation requirements
At Krisshnaa Dental & Multispeciality Care, we provide clear cost estimates and transparent treatment plans.
Need a Quick Consultation?
Talk to our dental experts for guidance or appointments.
FAQs on Wisdom Teeth Removal in Central Delhi
The procedure is performed under anaesthesia, making it comfortable and pain-free. Our Central Delhi clinic uses advanced anaesthesia techniques and sedation options to ensure a completely painless experience. Any post-operative discomfort is manageable with prescribed medications and typically subsides within a few days.
Most patients recover within a few days, with complete healing over a few weeks. Initial recovery (returning to normal activities) takes 2-3 days, while complete gum healing occurs in 2-3 weeks. Bone healing may take several months, but this doesn't affect daily activities. We provide detailed aftercare instructions to promote optimal healing.
No, only wisdom teeth causing problems or future risks require removal. We conduct thorough examinations including X-rays to assess if your wisdom teeth are impacted, causing crowding, decay, or posing infection risks. Many people keep their wisdom teeth if they are properly aligned, fully erupted, and can be maintained with good oral hygiene.
Soft foods are recommended initially, followed by a gradual return to normal diet. For the first 24-48 hours, stick to liquids and soft foods like soups, yogurts, and mashed potatoes. After 3-5 days, you can gradually introduce semi-soft foods, returning to your normal diet after 1-2 weeks as healing progresses.
Yes, when performed by experienced professionals using proper techniques. Our oral surgeons in Central Delhi have extensive experience in complex wisdom teeth extractions. We use sterile equipment, follow strict surgical protocols, and employ advanced imaging technology to ensure the safest possible procedure with minimal complications.