A Simple Guide for Patients at Krisshnaa Dental, Central Delhi
Festivals in India mean one thing for sure. Sweets everywhere. From laddoos and barfi to chocolates and cakes, celebrations feel incomplete without them.
But what if every bite of something sweet gives you a sharp pain in your tooth?
If you often think, “Why does my tooth hurt when I eat sweets?”, you are not alone. This is one of the most common complaints we hear at Krisshnaa Dental & Multispeciality Care, Central Delhi.
Let us understand why this happens and what you can do about it.
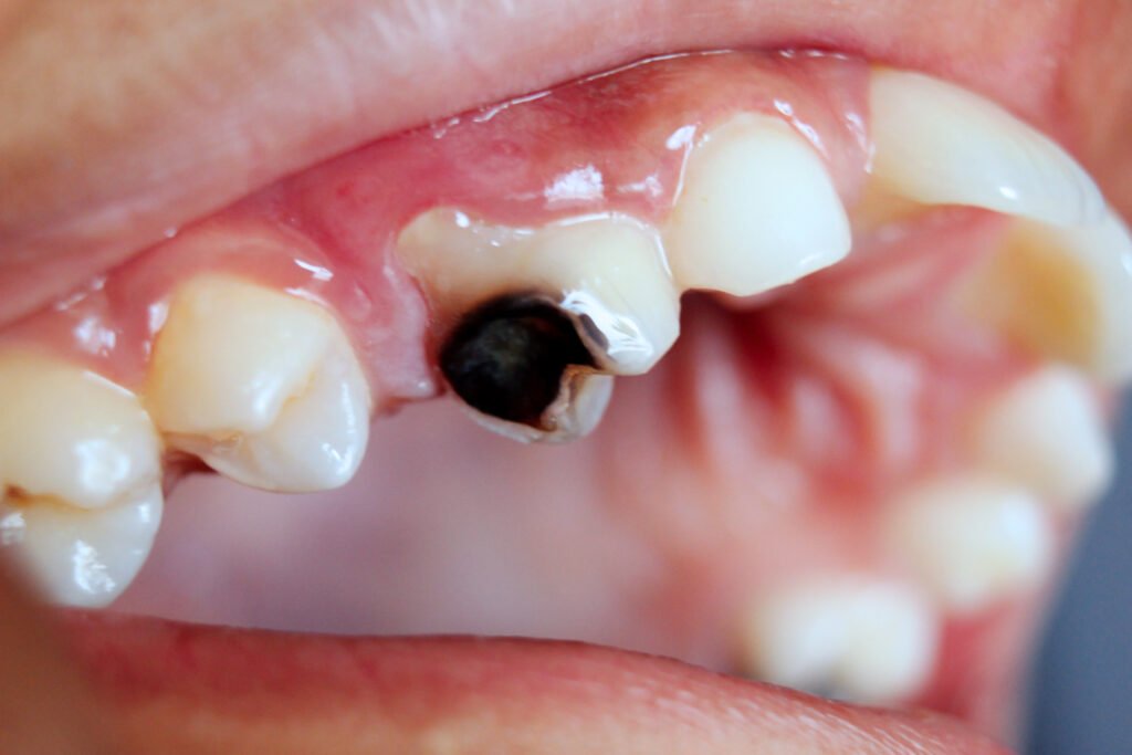
1. Cavities – The Most Common Reason

Cavities are tiny holes in your teeth caused by tooth decay.
When you eat sweets, sugar stays on your teeth. If not cleaned properly, bacteria feed on this sugar and produce acid. This acid slowly damages the tooth and creates a cavity.
When sweets touch that cavity, you may feel:
- Sharp pain
- Sudden sensitivity
- Lingering discomfort
If ignored, the pain can increase and may even require root canal treatment later.
2. Weak Enamel or Exposed Dentin

The white outer layer of your tooth is called enamel. It protects the inner sensitive layer called dentin.
Over time, enamel can wear down due to:
- Hard brushing
- Acid reflux or frequent acidity
- Regular consumption of acidic foods and drinks
- Teeth grinding
When enamel becomes thin, dentin gets exposed. Dentin reacts quickly to sweets and temperature changes, causing sudden pain.
This condition may need treatment like fillings, bonding, or sometimes caps depending on severity.
3. Gum Problems and Receding Gums
Unhealthy gums can slowly pull back from the teeth. This exposes the root surface.
The root does not have enamel protection. It is more sensitive.
When sweets touch exposed roots, pain is felt instantly.
Signs you may have gum problems:
- Bleeding while brushing
- Swollen gums
- Bad breath
- Teeth looking longer than before
Gum treatment at the right time can prevent further damage.
4. Old Fillings or Loose Crowns
If you had dental treatment in the past, an old filling or crown may become loose or cracked over time.
Sweets can enter the tiny gap and irritate the inner part of the tooth, causing discomfort.
Replacing or repairing the old dental work usually solves the issue.
What You Can Do at Home
While dental treatment needs a clinic visit, you can take preventive steps:
- Brush twice daily with fluoride toothpaste
- Use anti sensitivity toothpaste if needed
- Rinse your mouth after eating sweets
- Floss daily to remove trapped sugar
- Eat sweets in one sitting instead of snacking all day
- Avoid very hard brushing
- Do not ignore early sensitivity
Small habits make a big difference.
When Should You Visit a Dentist?
Do not wait if:
- Pain happens every time you eat sweets
- Pain continues even after you stop eating
- You see a black spot or hole
- There is swelling or bleeding gums
Early treatment is simple, affordable, and prevents bigger procedures later.
Enjoy Sweets Without Fear
Festivals and celebrations should bring smiles, not tooth pain.
If sweets are causing discomfort, it is your body’s way of telling you something needs attention. Ignoring it can turn a small cavity into a bigger problem.
At Krisshnaa Dental & Multispeciality Care, Central Delhi, we focus on preventive care and comfortable treatment so you can enjoy your favorite foods without worry.
📍 Central Delhi
📞 +91 7836983698, +91 7836983625
🌐 www.krisshnaadental.com
Book your consultation today and let your smile stay healthy this festive season.
Because healthy teeth mean happy celebrations.
FAQ: Tooth Pain When Eating Sweets
1. Why does my tooth hurt when I eat sweets?
Tooth pain while eating sweets usually happens because of cavities, weak enamel, exposed dentin, or gum recession. Sugar enters small holes or exposed areas in the tooth and irritates the inner sensitive layer, causing sharp pain.
2. Is tooth sensitivity to sweets a sign of a cavity?
Yes, in many cases it is. Cavities are one of the most common reasons for pain after eating sweets. If you feel sharp pain that repeats every time you eat sugar, you should get your tooth checked.
3. Why does the pain stop after a few seconds?
If the pain goes away quickly, it may be due to mild sensitivity or early enamel wear. However, if the pain lingers for a long time, it could mean deeper decay or nerve involvement.
4. Can gum problems cause pain when eating sweets?
Yes. When gums recede, the root surface becomes exposed. Roots do not have strong enamel protection, so sweets can trigger sudden sensitivity.
5. Can old fillings cause sweet sensitivity?
Yes. If a filling or crown becomes loose or cracked, sweets can enter tiny gaps and irritate the inner tooth structure, causing discomfort.
6. How can I stop tooth pain from sweets at home?
You can:
- Brush twice daily with fluoride toothpaste
- Use anti sensitivity toothpaste
- Rinse your mouth after eating sweets
- Floss daily
- Avoid frequent snacking on sugary foods
These steps help, but they do not replace dental treatment.
7. When should I see a dentist for sweet tooth pain?
Visit a dentist if:
- Pain happens every time you eat sweets
- Pain lasts more than a few seconds
- You see a black spot or hole
- There is swelling or bleeding gums
Early treatment prevents bigger procedures later.
8. Can tooth sensitivity go away on its own?
Mild sensitivity may reduce with proper care. But if there is decay or gum disease, it will not heal without professional treatment.
9. What treatment is done for tooth pain caused by sweets?
Treatment depends on the cause. It may include:
- Dental fillings
- Desensitising treatment
- Gum therapy
- Crown placement
- Root canal treatment in advanced cases
A proper dental examination is necessary to decide.
10. Where can I get treatment for tooth sensitivity in Central Delhi?
You can visit Krisshnaa Dental & Multispeciality Care, Central Delhi for consultation and treatment.
📞 +91 7836983698, +91 7836983625
🌐 www.krisshnaadental.com
Book your appointment and enjoy sweets without pain.