Delhi & Noida • Multispeciality Dental Care
Dental Treatment

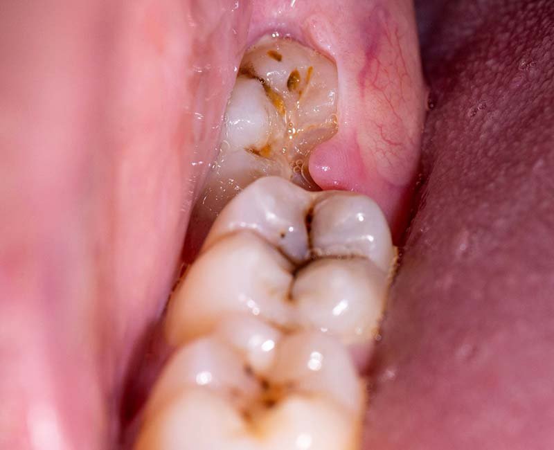
Dental Fillings in Central Delhi

Restore damaged or decayed teeth with high-quality dental fillings at Krisshnaa Dental & Multispeciality Care, Central Delhi. Dental fillings are a common and effective treatment used to repair cavities, cracks, and minor tooth damage while preserving natural tooth structure. Our experienced dentists use advanced materials and gentle techniques to ensure durable, natural-looking, and comfortable results.

Root Canal Treatment

What Are Dental Fillings?

Dental fillings are restorative materials used to repair teeth affected by decay, fractures, or wear. The damaged portion of the tooth is carefully removed, and the space is filled to restore strength, shape, and function.

At Krisshnaa Dental & Multispeciality Care, dental fillings are customised based on the extent of damage, tooth location, and aesthetic requirements, ensuring long-lasting protection and natural appearance.

Dental Implant Treatment

Book Your Appointment

Schedule your consultation with our experienced dental team and get the right treatment at the right time.

Before Dental Implant
After Dental Implant
Before After
↔
Before Dental Implant
After Dental Implant
Before After
↔

Dental Filling Procedure in Central Delhi

Dental fillings restore damaged or decayed teeth using advanced techniques, ensuring strength, natural appearance, and long-lasting comfort while protecting oral health with precise, patient-focused care.

STEP 01

Examination & Diagnosis

Examination & Diagnosis The dentist examines the tooth using clinical assessment and digital X-rays to accurately detect decay or structural damage.

STEP 02

Comfort Anesthesia

Local anesthesia is provided when needed to ensure a painless, calm, and comfortable dental filling procedure.

STEP 03

Tooth Preparation

The decayed or damaged portion of the tooth is carefully removed while preserving healthy tooth structure.

STEP 04

Filling Placement

Advanced filling material is placed and shaped to restore the tooth’s natural appearance, strength, and function.

STEP 05

Polishing & Bite Check

The filled tooth is polished smoothly, and bite alignment is adjusted for comfortable and natural chewing.

STEP 06

Aftercare Guidance

Post-treatment instructions are given to improve filling durability, prevent future decay, and maintain oral health.

Need a Quick Consultation?

Talk to our dental experts for guidance or appointments.

Cost of Dental Fillings in Central Delhi

The cost of dental Fillings depends on several factors related to treatment planning and smile design.

  • Type of filling material used
  • Size and location of the cavity
  • Number of teeth treated
  • Additional procedures if required

At Krisshnaa Dental & Multispeciality Care, we provide transparent pricing and clear treatment explanations.

Dental Veneers Treatment in Central Delhi

Why Choose Krisshnaa Dental & Multispeciality Care, Delhi

Qualified Orthodontists

Experienced specialists handling simple to complex orthodontic cases.

Personalised Treatment Plans

Custom orthodontic solutions based on dental condition, age, and goals.

Modern Dental Facilities

Advanced diagnostics and treatment systems for accurate, comfortable care.

Transparent & Affordable Pricing

Clear treatment timelines and honest pricing for braces and aligners.

FAQs on Dental Fillings in Central Delhi

Dental fillings are usually painless and performed under local anaesthesia if required.

How long do dental fillings last? With proper care, fillings can last many years depending on material and oral habits.

Are tooth-coloured fillings durable? Yes, modern composite fillings are strong and suitable for most teeth.

Most dental fillings are completed in a single appointment.

Do fillings require special care? Routine brushing, flossing, and regular dental check-ups are sufficient.